Suomen rokotetutkimuskeskuksen johtaja Mika Rämet veti jo huru-ukko vaihteen päälle, kun hän totesi että rokottamattomia suojaa koronalta vain täydellinen eristäytyminen yhteiskunnasta.
Niille jotka eivät vielä tiedä, että mikä huru-ukko on, niin.
Kuka oikein maksaa näille koronavouhottajille ?
Näille koronarokotuksista vouhottaville virkamiehille ja rokotusjohtajille kuitenkin maksetaan tuntuvasti ja hyvin. Sillä he saavat nuottinsa muualta kuten Rämetkin.
Rämetkin on ihan julkisessa virassa, mutta hänkin saisi potkut, jos ryhtyisi julkisesti koronakriittisesti. Joten tämä jo viimein paljastaa sen, että miten korruptoitunut tämä lääketeollisuuden mafian johtama korona kultti oikein on.
Medikalistinen tyrannia on nyt arkipäivää ja nämä lääketeollisuuden huorat eivät luovuta ennen kuin ovat saaneet tämän rokotekattavuutensa täytettyä ja maailmanlaajuisesti se rokotuskattavuus on kaiverrettu sinne Georgia Guidestonesin kylkeen, jossa lukee kaiverrettuna, että kuinka maailmassa tulisi olla lopulta vain 500 miljoonaa ihmistä. Joiden tulisi elää sopusoinnussa luonnon kanssa.
Maailman nykyinen väkiluku kun on se 7,713 miljardia ihmistä.
Tehdään siis laskutoimitus 7 713 000 000 - 500 000 000 = 7 213 000 000
Eli 7,213 miljardia ihmistä täältä koko pallolta täytyisi nyt rokottaa kuoliaiksi. Se on tämä näiden "Illuminatsien" lopullinen "rokotekattavuus".
Mutta itsensähän nämä elitistit piikittävät korkeintaan vain harmittomilla ja vaarattomilla suolaliuoksilla, jotka ovat pelkkiä placebo rokotuksia. Kun taas sitä grafeenioksidilla täydennettyä geenipiikkimyrkkyä saavat ne loput.
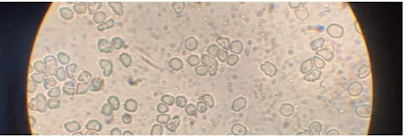
Tässä on kuvassa terveen ihmiset punasolut mikroskooppi kuvassa.
Tässä näkyy koronarokotetun ihmisen punasolut, jotka ovat jo alkaneet tuhoutumaan koronarokotteen seurauksena.
Tässä taas näkyy rokottamattoman ihmisen, joka on ollut tekemisissä tämän rokotetun kanssa punasolut, jotka ovat jo alkaneet oireilemaan.
Biologisen sodankäynnin asiantuntija dr. Igor Shepherd on ottanut julkisesti kantaa tähän aiheeseen ja todennut, että koronarokoteet ovat bioase.
Hän totesi myös sen, että kuinka tämä mRNA-geenimuokkaus luotiin myös vuosikymmeniä sitten Neuvostoliiton laboratorioissa hiljaiseen biologiseen sodankäyntiin.
References:
https://swprs.org/a-swiss-doctor-on-covid-19/
https://www.brandeis.edu/now/2021/july/bioweapons-samore.html
https://treaties.unoda.org/t/bwc
https://www.americansecurityproject.org/crispr-is-making-bioweapons-more-accessible/
dr. Sheperd kirjoitti muutama päivä sitten englanninkielisen artikkelin aiheesta LewRockell.com sivustolle.
Lähde: IS











